MedXray, Centrul de Imagistica Dentara Arad
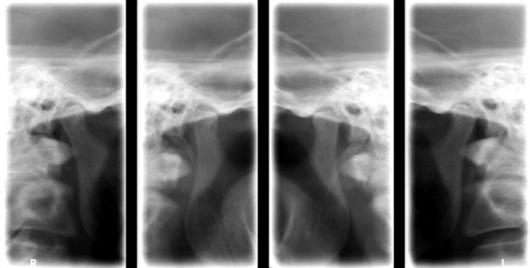
Radiografia A.T.M./ TMJ X-Ray
- dreapta cu gura inchisa cu gura deschisa - stanga cu gura inchisa cu gura deschisa
Galerie foto
Categorii
Radiografia mainii (1)
Radiografia ocluzala (1)
Radiografia sinusuri/ Synus X-Ray (1)
Radiografie retroalveolara (1)
Radiografii mari (3)
Radiografii mici (1)
Servicii (2)
Date de contact
0748046999; 0357429160
Calea Aurel Vlaicu , nr. 159-161, et.1, Arad, judetul Arad
Distribuie
